非⼿術性牙周病治療
牙周病醫師以牙周專⽤器械深入到牙齦發炎的底部,徹底清除牙⿒表⾯與深部的牙結⽯及被污染的⿒質和發炎的⾁芽組織,此過程稱為牙根整平術。
牙根變光滑後,新的牙結⽯與牙菌斑將較難堆積在牙根上;有時候可以合併給予⾼濃度抗⽣素凝膠、特殊噴砂除菌除垢或⾼能量雷射,以達到更好的治療效果。同時教導患者使⽤牙刷、牙間刷來維持⼝腔衛⽣;經過臨床治療和病患平常的⼝腔維護,發炎流⾎的牙周組織會恢復部分程度的健康,經此階段牙周病 問題便已有相當幅度的改善。
在全⼝牙根整平術實施⼀⾄⼆個⽉後,將進⾏再評估,確認需不需要進入第⼆階段的牙周⼿術治療。

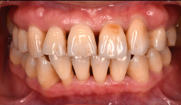
牙周治療前
嚴重牙結⽯堆積,反覆牙齦腫痛,⾃發性的牙齦出⾎。

牙周治療後
徹底清除牙菌斑與牙結⽯,牙齦恢復健康。


牙周治療前
刷牙容易流⾎,⼝腔容易有味道,局部牙⿒出現明顯鬆動。
起初以為只是火氣⼤不以為意,但經過⼀段時間情況仍未改善。

牙周治療後
徹底清除牙菌斑與牙結⽯,牙齦恢復健康。



